
DİŞ BEYAZLATMA
Tedavi
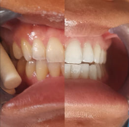
Beyazlatma ileri teknolojisi dişlerin hem yüzeyini hem de iç yapısını temizler. Hollywood Beyazlatma, profesyonel diş beyazlatma sistemlerinde dünya lideri olarak, kozmetik diş hekimliği için en güvenli ve en gelişmiş teknolojileri geliştirmeye kendini adamıştır. Çok sayıda klinik çalışma, gülüşünüzü pırıl pırıl beyaza döndürmek için 1 saatten az süren sistemimizin, hiçbir yan etkisi olmadan dişleri beyazlatmanın en etkili yolu olduğunu kanıtlamıştır. Ayrıca tetrasiklin ile lekelenmiş, yaş, florür ile lekelenmiş, ilaçlarla sararmış veya kalıtsal renk değişikliği olan dişleri beyazlatır.
Bir lazer sistemi seçmeden önce, piyasadaki tüm lazer sistemleri veya ürünlerinin aynı olmadığını, dünyada garantili sonuçlar sunan birkaç şirketten biri olduğumuzu lütfen unutmayın. Beyazlatma hızlandırıcı ışığımız birinci sınıf bir tıbbi cihazdır ve günümüzde mevcut olan en ileri teknolojidir.
Tek seferlik lazer tedavisi mevcut en etkili ve en güvenli beyazlatma prosedürüdür, bu 1 saatten daha kısa sürede yapılır. En etkili ve güçlü sistemi kullanmak. 1 tek işlemde anında sonuç garanti edebiliriz. Öğle yemeği molanızın mekanında; dişlerinizin üst ve alt ön yüzeylerini 14 tona kadar daha parlak hale getirebiliriz. Yıllarca süren lekelenmeden sonra dişlerinize ihtiyacı olan sağlıklı bakımı vermeye hazır mısınız? Dişlerinize bugün bir dönüşüm verin.












